Before & After

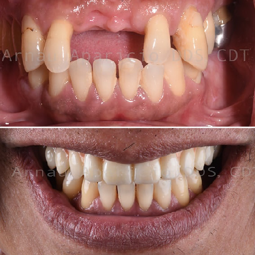
BEFORE AND AFTER

Tooth implants & permanent zirconia bridge.

Patient had failing dental implants and missing front teeth.

Patient had failing dental implants and missing front teeth. Patient wanted All on 4, but we were able to resolve it with two front tooth implants and a permanent zirconia bridge.

BEFORE AND AFTER

Dental implants. Zirconia bridge.

This patient original came for all on 4 at QDT dental.

We place 6 upper dental implants, but during the healing time the patient lost one of the dental implants. We were able to finish the case with just 5 implants since the missing implant was not critical. This is the main advantage of over engineering all on 4. Since implant dentistry is not 100%, it is better to be safe and place more implants if possible. The final teeth were made with a zirconia bridge by a Houston dentist.

BEFORE AND AFTER

Dental implants & permanent bridge in a very short time.

When patients come from out of town from Houston.

We can provide the final prosthesis 2 days after the surgery. The patient will get the dental implants and we will deliver a 3D printer provisional prosthetic the same day. The day after we can provide the final zirconia permanent bridge. The patient was able to get dental implants and permanent bridge done in a very short time, since we have an inhouse laboratory including CAD/CAM technology like a Cerec machine and 3D printing.

BEFORE AND AFTER

Dental implants. Zirconia bridge. Dental Crowns.

Missing teeth on the upper arch and cavities on the lower jaw.

Patient had missing teeth on his upper arch and cavities on the lower jaw. We decided to place 6 tooth implants on the top, following the all on four concept together with 2 implants in the lower and two single tooth implant in the back of his mouth. The crowns were fabricated with zirconia and the upper permanent bridge was done with zirconia as well. Everything was done by our lab technician in house making dental implants affordable.

BEFORE AND AFTER

Dental implants & permanent zirconia bridge. Teeth whitening.

Patient had an overbite, missing teeth, cavities and recurrent decay on his teeth cap.

The smile dental was not the best overall. He wanted to improve his appearance and chewing efficacy. We decided to pull all his upper teeth and place six dental implants at our dental clinic in Houston. After 4 months, the patient came back for his final permanent bridge denture. He chose Zirconia crowns. We also made teeth adjustments on his lower jaw to improve the dental cosmetics. Lastly, laser teeth whitening was utilized to further enhance the aesthetics of the lower teeth.

BEFORE AND AFTER

Tooth implants & permanent zirconia bridge.

Having a new set of teeth can bring happiness and this is the proof.

Another chance in life to be able to smile is worth the cost of dental implants. We delivered 12 zirconia tooth caps in this dental clinic. At QDT dental we have the best dentist and dental technician capable of doing dental teeth. The implants were done immediately after removing the teeth, and the dentist provided a permanent denture bridge after the dental implants healed. We are not just family dentistry here at QDT dental we are also a Specialist dentist.

BEFORE AND AFTER

Root canal retreatment. New crown. Dental veneers.

Patient presented with an abscess associated with tooth number 8.

Her previous dentist recommended to have the tooth removed and to get a front tooth implant. We gave the patient two options. the first option was to save the tooth with a root canal retreatment and new crown together with dental veneers for #7-10. The second option was to get the front implant immediately after the extraction. Patient choose the first option. Picture was taken 4 years after the procedure

BEFORE AND AFTER

Dental implants. Permanent bridge in a very short time.

Severe attrition and erosion can lead to missing teeth and bite pain.

When grinding is present is better to avoid immediate loading implants or try to save as much teeth as possible. This patient came for all on 4 dental treatment, but we recommended to save the upper back teeth and do all on 4 on the lower arch. Patient received the final implant bridge next day all made with zirconia porcelain.

BEFORE AND AFTER

Front veneers.

This patient came to our office with very old composite bonding on her teeth.

She wanted to enhance her smile by replacing the old dental bonding with porcelain veneers. This procedure took as little as two appointments to reinvent her smile. In the first appointment we began with removing all of the old filling material and taking new impressions of the teeth. We then proceeded with creating temporary veneers to mimic the final veneers. A few weeks after this first appointment we delivered her final and permanent veneers. This particular case was challenging because the patient was missing two of her front teeth. The patient was very happy with her results and her new natural looking smile.

BEFORE AND AFTER

Dental implants. Teeth whitening.

Patient severe horizontal bone loss.

Periodontal disease is multifactorial. This particular patient is a smoker and presented with a medical history of years of uncontrolled diabetes. He had severe horizontal bone loss. We recommended to extract his upper teeth and replace them with permanent dentures. Full dental implants are also an alternative solution for conventional crown and bridge work. Maintenance is the key for successful dental implants. Good oral hygiene and professional cleaning every 6 months will promote long term results.

Load More